Opening Chronic Total Occlusion (CTO) Using a Simple Twirling Technique
by
Aman Ullah Saleh
October 15, 2012Operator(s)
Shafiq Ahmed, MBBS, MRCP, FRCP; Aman Ullah Saleh, MBBS, MCPS, FCPS Cardiology
Affiliation
Memom Medical Institute Hospital
Facility / Institute
Memom Medical Institute Hospital
Clinical History
A 55 year old diabetic and hypertensive patient came with complaints of CCS Class III angina for the last 2-3 years. Baseline ECG showing 1mm ST depression in infero-lateral leads.
Angiography
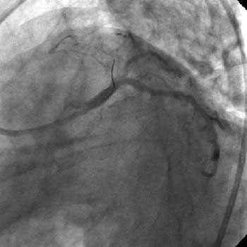
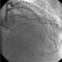
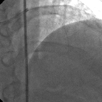
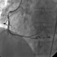
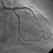
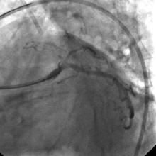
1) RCA: Discrete severe mid stenosis (Figure 1)
2) LCX: 50% proximal tubular stenosis
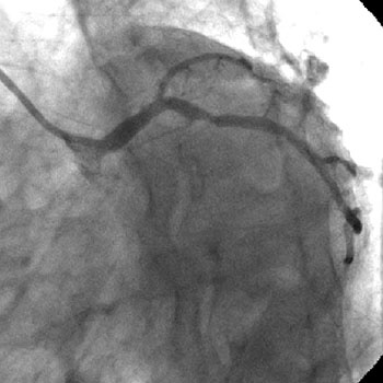
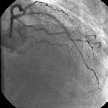
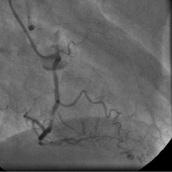
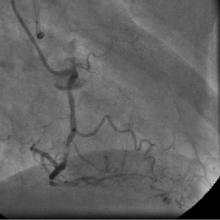
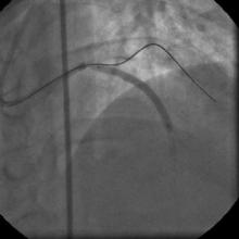
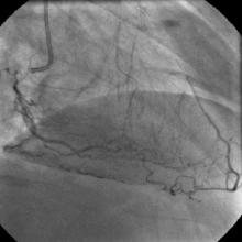
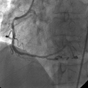
3) LAD: Ostial CTO ( Figure 2) with collaterals from RCA and LCX (Figure 3).
2) LCX: 50% proximal tubular stenosis
3) LAD: Ostial CTO ( Figure 2) with collaterals from RCA and LCX (Figure 3).
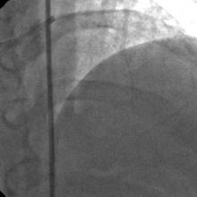
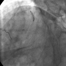
Procedure
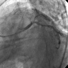
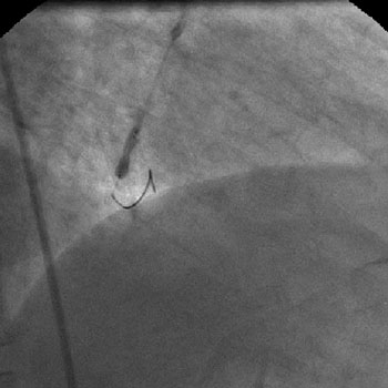
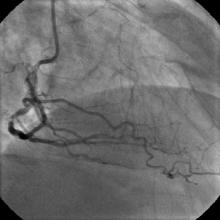
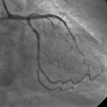
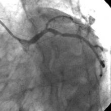
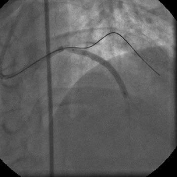
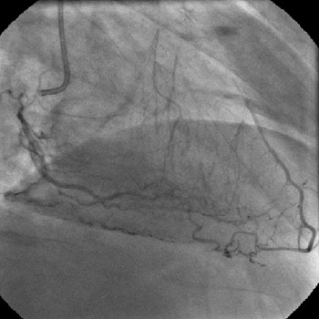
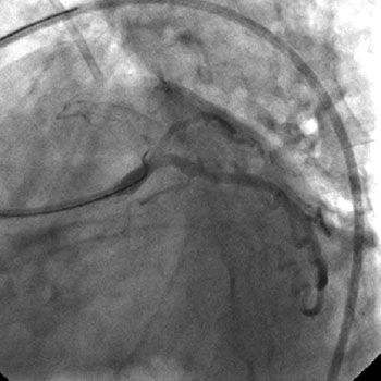
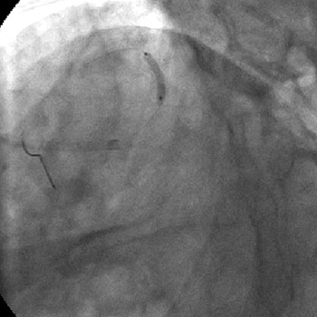
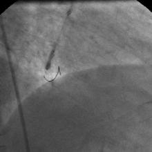
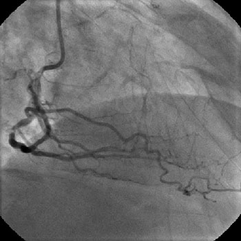
The left system was engaged with XB 3.5 guiding catheter through the femoral route. With the help of a 1.1x1.5mm CTO balloon, we directed a Shinobi guidewire towards the ostial LAD lesion (Figure 4). After making sure that the guidewire was pointing towards the CTO with its tip at the CTO lesion, we used the torquer to gently twirl the guidewire without forcing or overly manipulating it and allowed the guidewire to find its own way through the CTO by patiently twirling it at the lesion site. Within a few minutes, the guidewire jumped through the CTO lesion (Figure 5) and then through the lesion with the help of the CTO balloon (Figure 6). The path was first confirmed by engaging the RCA from the radial approach and injecting dye into the RCA (Figure 7). The CTO was then predilated with a 2.0x30mm Sapphire balloon (Figure 8 and Figure 9) and stented it with a 3.0x36mm DES (Figure 10 and Figure 11). Later the RCA was engaged with a JR 3.5 guiding catheter. A Cougar guidewire crossed the RCA lesion that was directly stented with a 3.0x13mm BMS (Figure 12 and Figure 13).
Conclusion(s) / Result(s)
No residual stenosis found, TIMI III flow achieved distal to the lesion.
Comments/Lessons
Various techniques and supportive instruments have been devised to open CTO lesions including use of a support catheter or microcatheter with an over-the-wire (OTW) technique and Tornus, Corsair, Twin-Pass, and Venture catheters. But the problem in developing countries is the cost of these catheters. To overcome this issue, we recently opened multiple CTOs using simple guiding catheter, a hard guidewire and a CTO balloon, and by applying our twirling technique. Comparing our technique with other techniques, we found it safe, successful, and simple.
Conflicts of Interest
None
Comments