Rescue PCI in Acute Heart Failure by Right Transradial Approach in a Patient with High Grade Tortuosity
by
Saidur Khan
August 13, 2012Operator(s)
Dr. Saidur Rahman Khan
Facility / Institute
Ibrahim Cardiac Hospital and Research Institute, Dhaka, Bangladesh
Clinical History
A 70 year old diabetic, normotensive female patient was admitted with complaints of typical angina for the last 36 hours, more aggravated for the last 8 hours associated with severe respiratory distress. On admission, her ECG showed ST elevation in the anterior chest leads along with the inferior leads. She was in Killip class II-III heart failure. Echo revealed an LVEF ~ 40% with a nearly akinetic apex and anterolateral wall and a hypokinetic inferior wall. She was given IV morphine, nitroglycerine, and diuretics. Her renal function was normal. Oximetry showed 90-94% oxygen saturation. As the left radial was not accessible, right radial puncture was done, keeping the patient in a semi prone position.
Angiography
1) LAD: Totally occluded near its ostium (Figure 1)
2) LCX: Mild disease
3) RCA: 95% proximal stenosis (Figure 2)
4) High grade subclavian tortuosity
2) LCX: Mild disease
3) RCA: 95% proximal stenosis (Figure 2)
4) High grade subclavian tortuosity
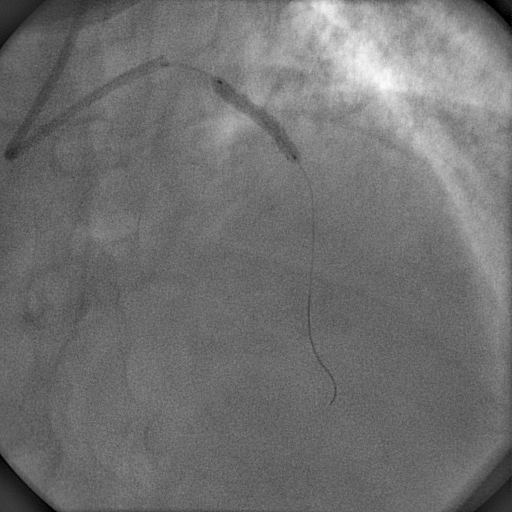
Procedure
A 6 r XB guiding catheter was chosen to cannulate the left coronary artery. A PT2 hydrophilic guidewire was used to cross the totally occluded LAD lesion with a 2x10mm Sapphire balloon for support (Figure 3). The occluded segment was dilated using the same balloon at 18atm. A 3x25mm Cre 8 stent (DES, CID, Italy) was deployed in the ostioproximal LAD at 18atm (Figure 4) and post-dilated using a 3.5x10mm Sapphire NC at 20 atm (Figure 5). TIMI III flow was established (Figure 6). The patient was hemodynamically stable, and a minimum amount of contrast was used to prevent much volume overload. Then a 6Fr JR guiding catheter was selected in an attempt to engage the right coronary artery, but extreme coiling and kinking made it impossible to cannulate the RCA properly. So keeping the diagnostic guidewire in situ with the catheter tip far from RCA ostium, the PT2 guidewire was used to wire the RCA with a 2x10 mm balloon support (Figure 7, Figure 8). Keeping the balloon in the proximal RCA, the guiding catheter could be advanced over the balloon catheter to engage the right coronary artery properly. Using a buddy wire, the lesion was dilated with the same balloon at 14atml and a 2.75x23mm CC Flex (CoCr) stent was deployed at 18atm (Figure 9). Distal TIMI III flow as achieved (Figure 10).
Conclusion(s) / Result(s)
After forced diuresis for another 2 days, pulmonary edema was resolved; and the patient was discharged 5 days after admission.
Comments/Lessons
Subclavian tortuosity sometimes is so extreme that catheter manipulation becomes harder especially for right coronary artery and especially using the right radial approach. In acute settings with pulmonary edema, I prefer radial or ulnar access instead of femoral access so that the patient does not have to be on his/her back. But in case of subclavian tortuosity, coiling of the catheter is also a concern. Sometimes, using the guide wire and balloon as a rail, engagement of the guiding catheter and wiring of the lesion may become easier.
Conflicts of Interest
None
Comments